Skip to main content

New Patients Welcome!

Schedule Your Appointment Online Today
 
We are conveniently located in Clintonville but also serve the Worthington, Upper Arlington, Grandview Heights, and the Ohio State University district.
Dental Crowns and Bridges
Repairing Smiles with Crowns and Bridges

At Shiflett Family Dental, we offer the solutions you need to restore your smile, whether it's a missing or broken tooth you're living with.

middle aged couple hugging l dental crowns columbus oh
Need a Tooth Repaired? Learn How We Can Help Here!
Contact Us

Dental Crowns & Bridges in Clintonville, OH

Broken or missing teeth significantly impact your quality of life. When you can't properly chew and eat your food, it impacts your diet and nutrition. If you don't feel confident about smiling, it can affect how you interact with other people and impact your personal and professional relationships.

A porcelain crown can repair a broken or cracked tooth, while a bridge fills in the gap left by a missing tooth. Dr. Shiflett can help you reclaim your smile and regain chewing function and confidence with dental bridges or crowns in Columbus. 

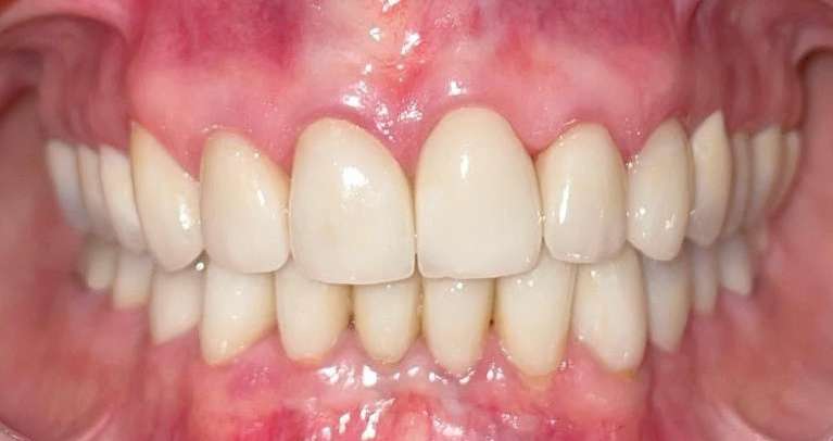
close up of dental crowns l dentist columbus ohWhat Is a Dental Crown?

A crown is a protective cap for your tooth that can be made of a tooth-colored material such as porcelain and zirconia or a metal such as gold.

Dental crowns in Clintonville, OH, are needed when a significant portion of the tooth has been lost or broken or when the tooth has had a root canal. Crowns are also used to fix a cracked tooth, often caused by clenching and grinding (bruxism) or from an old silver filling (called an amalgam).

If you are having pain or tenderness when biting or chewing, your tooth may have a crack that can be fixed with a crown. Temperature sensitivity in your tooth can also be an indicator of damage or decay in your tooth that we may be able to repair with a crown.

Call our dental office in Clintonville to ask our dental team about crowns, bridges, or anything else!

Six Reasons You May Want or Need a Dental Crown

Sometimes, you want to "cap" your teeth for aesthetic reasons. Other times, your dentist in Columbus, OH, says you need a dental crown. Fortunately, these restorations are cosmetic and functional. Below are a few reasons you may want or need a dental crown:

Structural Support
After root infection treatment or trauma, your tooth is weak and at risk for fracture. A dental crown creates a safe space between your damaged tooth and bite force.
Deep Decay
Untreated tooth decay deepens or spreads through the tooth, which can cause crumbling. A dental crown protects this vulnerable tooth from necessary extraction.
Aesthetic Value
A dental crown in Columbus, OH, can conceal many tooth flaws, including discoloration, chips, cracks, and shape abnormalities. Tooth crowns are colored to match your smile.
Tooth Lengthening
Short teeth can be unsightly, but they also stress your jaw joints and put pressure on longer teeth, leading to complications. Tooth crowns lengthen short or worn teeth.
Dental Implants
Single dental implants rely on a titanium replacement root integrated into the jawbone. We top this root with a custom dental crown that acts as your new tooth.
Dental Bridges
A traditional dental bridge consists of custom-restoration teeth placed between crowns. The tooth crowns secure the dental bridge to healthy neighboring teeth.

OUR TEAM

    headshot of dr justin shiflett l clintonville dentist

    Dr. Justin Shiflett

    Dr. Justin Shiflett graduated Magna Cum Laude from the Ohio State University College of Dentistry in 2016. He received his undergraduate degree from Malone University in Canton, OH, where he competed on the baseball team. He started all four years as an infielder, setting the career mark for sacrifices.

    Since completing his dental education, Dr. Shiflett has taken additional courses to advance the services he can offer patients and stay up to date on the latest technologies. Shiflett Family Dental is proud to offer dental implants, clear aligners, root canal therapy, and ...

    Read More

How Is a Dental Crown in Clintonville, OH, Made?

When your tooth needs a crown, your first dental appointment will involve Dr. Shiflett shaping the tooth and fixing any large defects. We will take a mold, or impression, of the prepared tooth and send it to the dental lab that will make your crown. We will create a temporary crown for you to wear while your new crown is being made.

Your second appointment will consist of removing the temporary crown and cleaning the tooth. We will then try on your crown and make sure you approve of the size, shape, and color. After adjusting it to fit your tooth and your bite, Dr. Shiflett will permanently cement your crown in place and send you on your way.

Now you're ready to chew, eat, and smile with your new tooth!

Dental Crown Pricing in Clintonville: What’s Included and What to Know

Our dental crowns are priced between $1,500 and $1,800. It's important to note that these prices do not include insurance coverage, and your out-of-pocket cost may vary based on your plan. If you're insured through Delta Dental, please be aware that our in-network rates differ from the pricing listed above. For the most accurate estimate, we recommend contacting our team or reviewing your insurance policy directly.

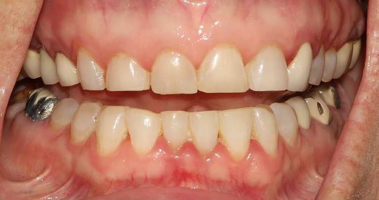
What Is a Dental Bridge?

older couple hugging at kitchen table l dental crowns columbus ohA bridge is one option for replacing missing teeth, and the procedure is essentially the same as for a crown and requires two appointments at Shiflett Family Dental.

In the case of a single missing tooth, the teeth on either side of the space are used for support. We place a crown on each tooth next door to the space, with a fake crown "bridging" the gap between. This bridge is one piece, and we cement it in your mouth permanently. It is very stable and can be a great option for those only missing one or a couple of adjacent teeth.

It is important to note, however, that a bridge requires maintenance once completed. It is essential that you floss around and beneath your bridge in order to help prevent cavities. If one of the supporting teeth for your bridge develops decay or a cavity, or if it breaks, it will compromise the entire bridge.

Oftentimes, the teeth on either side of the space are not in need of a crown, so we are removing healthy tooth structure from two teeth in order to replace one. This is not ideal since no material can replace your natural tooth completely. However, getting your dental bridge in Columbus, OH, can be an excellent choice that saves money if the neighboring teeth already need a crown.

Dental implants can replace teeth without removing healthy tooth structures from adjacent teeth and are often about the same cost as a bridge, depending on your needs. A dental implant is an excellent option because it also replaces the root of your tooth, so it's the closest option to a natural tooth that you can get. Dental implants can also support a dental bridge to replace multiple teeth.

Dr. Shiflett will be sure to take the time to discuss the different types of bridges and your tooth replacement options with you and help you select the right choice for your unique situation.

Dental Crowns and Bridges Membership Plan

Office Membership Plan

 

Annual Membership Pricing:

Adult- $470

Periodontal- $699

Child (12 and under)- $370

 

Read More

Frequently Asked Questions

A dental crown is a tooth covering that dentists use to restore function and appearance to a tooth that’s too damaged or decayed to treat with a filling. Because crowns are custom-designed to cover an entire tooth to protect it, many people also refer to them as tooth caps or caps.

Reasons for a Dental Crown

Dental crowns in Columbus, OH are versatile and have many uses. Our dentist commonly uses them to support, protect, or restore a tooth in the following situations:

  • A cavity is too widespread to fix with a filling
  • A cracked, worn, or broken tooth needs extra support
  • A root-canal treated tooth needs strength and protection
  • A dental implant needs a restoration for function and appearance
  • A tooth is too small, oddly shaped, or discolored

Before he determines if a dental crown is right for your situation, Dr. Shiflett will perform a thorough examination and take x-rays of the tooth. He will review his findings and explain why he recommends a crown and how it will benefit your long-term oral health.

We want you to feel confident and comfortable about the direction of your treatment, and we are happy to answer your questions and address any concerns.

Getting a Dental Crown Takes Two Appointments

If you and Dr. Shiflett decide that a crown is the right solution, you can expect two appointments at our Columbus dental office spaced about two weeks apart.

During the first, we prepare your tooth, take impressions, provide a temporary, and send your information to a custom dental lab that prepares your final crown.

At the second, we remove your temporary and place your final custom crown securely on your tooth. If you care for your crown with excellent oral hygiene and twice-yearly dental exams and cleanings, you can expect it to give you 15 years or more of service.

Schedule a Dental Crown Appointment

For expert guidance on whether a dental crown is right for you, turn to Dr. Justin Shiflett and his team at Shiflett Family Dental. As a trusted family dentist in Columbus, Ohio, we are dedicated to providing top-notch care. Call us today to schedule your appointment and begin your journey to a healthier smile!

You Can Avoid Tooth Crowns and Dental Bridges

Of course, there are accidents or trauma that can't be avoided, and we're here to help if you have a dental emergency. However, there are some situations of tooth infections or decay that you can actually avoid. 

With routine teeth cleanings and checkups, we can help you protect your smile by detecting problems like tooth decay, worn or broken restorations, or gum disease early before they become more problematic conditions that could lead to broken or missing teeth.

During every bi-annual exam, Dr. Shiflett screens you for problems like gum disease and tooth decay, which can lead to broken or missing teeth. He will also check the health of your current restorations, looking for breakdown, which could also result in decay or damage to your tooth.

Early detection gives you more options for less invasive and less expensive treatment procedures. When you consistently visit your Columbus dentist every six months, we can help you protect your smile, dental health, and wallet.

Contact Shiflett Family Dental to Schedule Your Appointment

If you're living with wear or other damage to your teeth, call us to schedule a consult at our dental office in Clintonville at (614) 968-8752 and find out what is right for you. You can also book an evaluation with Dr. Shiflett online. 

Testimonial - You can't find a better practice!

Dental Crowns and Bridges Technology

Intraoral camera at shiflett family dental, clintonville oh

Intraoral Camera

At Shiflett Family Dental, we are also pleased to serve our patients with intraoral cameras. These cameras are great educational tools since they effectively allow our  dental patients to see what we see.

By getting a peek into their own mouth, patients get a better understanding of their oral health and steps they can take to improve it. It is essential to Dr. Shiflett, your dentist in Clintonville and the entire dental team that our patients understand why we recommend treatment, and intraoral cameras are the best tool we have to assist in the explanation process.

Intraoral scanner at shiflett family dental in clintonville, oh

Intraoral Scanner

Do you hate getting the messy, gooey molds of your teeth made? We do too! With intraoral scanners, we can avoid many of the traditional impressions that were required in the past. The images they produce are incredibly accurate and make your dental treatment fast and easier than ever. Our dental labs are able to turn your scan into your new crown and return it to us in a matter of days, so you can get back to your life ASAP!

BLOGS

Man smiling in dental chair with brown hair, clintonville ohio

Zinc Oxide Eugenol Cements for Crowns: Still the Gold Standard?

December 18, 2023

Innovations in dental techniques and materials continuously evolve to ensure you receive the best dental treatment using the highest quality materials. Today’s dental treatments use technology and materials that help you achieve the best oral health possible.

Zinc oxide eugenol is one dental material used for fillings, bridges, and crowns because ...

Read More
Black man and woman smiling, clintonville ohio

What Is the Most Aesthetic Crown for Anterior Teeth?

December 18, 2023

Dental crowns are a standard restorative dental procedure dentists use to cover and protect broken, damaged, discolored, or misshapen teeth. Today’s dental technology has made it possible to make dental crowns out of various materials.

Your Columbus, OH, dentist can discuss the different materials with you, but if you need ...

Read More
Dental crown illustration in Columbus, OH

How Long Do Dental Crowns Last?

July 14, 2022

The mouth is a complex system, and many factors can affect the lifespan of a dental crown, including oral hygiene habits and the daily wear to which it’s exposed. Dental crowns typically last around 15 years or longer if well cared for. However, maintaining excellent oral health can help them ...

Read More
Restore Missing Teeth with a Dental Bridge